BEFORE & AFTER
행복의 변화, 리셋치과 전후 효과를 확인하세요
새로운 치아, 새로운 미소. 직접 확인해보세요!
scroll down
부산·경남 미니쉬
멤버스 클리닉 지정병원
before & after case
치료 전·후 실제 후기
편안하게 진료를 받으실 수 있는 이상적인 공간,
쾌적하고 넓은 리셋치과에서 치과에 대한
두려움을 덜어드리겠습니다.
아래 사진들은 시간만 달리하였고,
완벽히 같은 조건 하에 촬영되었습니다.
사진은 환자들의 동의를 정중히 구하여
동의서를 작성 후 게재하였습니다.
치과치료시 환자분의 건강 상태에 따라
부작용이 발생할 수 있음을 고지합니다.
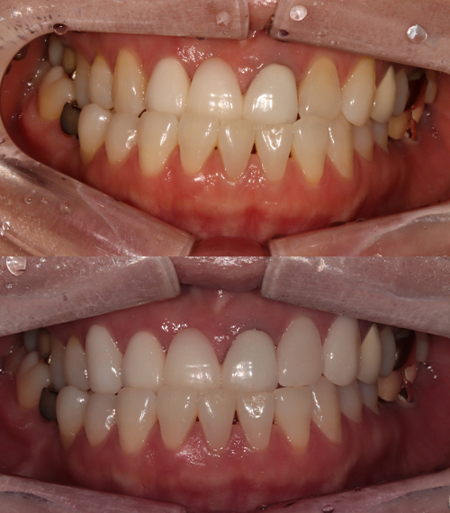
라미네이트
  • 환자 성함 : 박*원
  • 치료기간 : 2024.11 ~ 2024.11 (0.5개월)
라미네이트
  • 환자 성함 : 이*희
  • 치료기간 : 2024.10 ~ 2024.11 (1개월)
라미네이트
  • 환자 성함 : 권*덕
  • 치료기간 : 2025.07 ~ 2025.08 (1개월)
라미네이트
  • 환자 성함 : 윤*주
  • 치료기간 : 2024.11 ~ 2025.12 (1개월)
라미네이트
  • 환자 성함 : 김*명
  • 치료기간 : 2024.12 ~ 2024.02 (2개월)
라미네이트
  • 환자 성함 : 권*덕
  • 치료기간 : 2025.07 ~ 2025.08 (1개월)
라미네이트
  • 환자 성함 : 강*아
  • 치료기간 : 2025.01 ~ 2025.02 (1개월)
라미네이트
  • 환자 성함 : 권*덕
  • 치료기간 : 2025.07 ~ 2025.08 (1개월)
라미네이트
  • 환자 성함 : 안*라
  • 치료기간 : 2025.04 ~ 2025.05 (1개월)

Location

부산진구 가야대로 753 12층,13층

서면 롯데호텔 맞은편 DR 메디컬 건물

건물 내 타워주차장에 주차 가능합니다.

(대형 차량 주차는 원내 문의주세요)

  • 월·수·금

    10:00 -19:00

    화·목

    10:00 - 21:00

  • 토요일

    10:00 - 16:00

    점심시간

    13:00 - 14:00

*일요일 및 공휴일 휴진  *토요일 점심시간 없이 진료합니다.

건물 내 타워주차장에 주차 가능합니다.

(대형 차량 주차는 원내 문의주세요)

  • 월·수·금

    10:00 -19:00

  • 화·목

    10:00 - 21:00

  • 토요일

    10:00 - 16:00

  • 점심시간

    13:00 - 14:00

*일요일 및 공휴일 휴진
*토요일 점심시간 없이 진료합니다.