Bone graft implant
씹는 즐거움으로 다시 찾는 일상의 행복
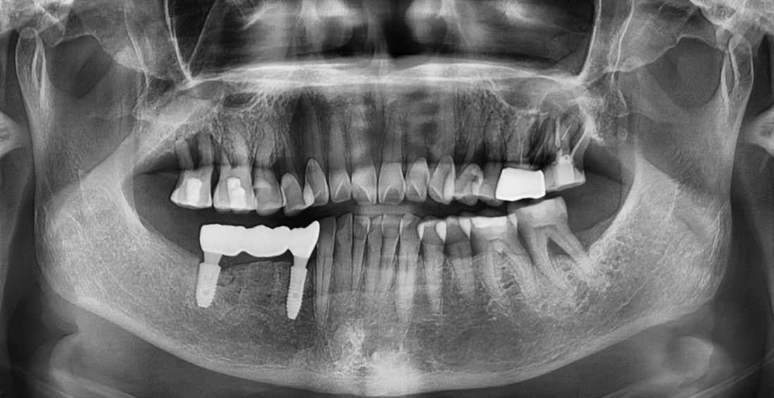
뼈이식 임플란트 ㅣ 상악동 거상술
scroll down
부산·경남 미니쉬
멤버스 클리닉 지정병원
Reset Implant
뼈이식,
임플란트
성공을 좌우
하는
중요한 요소입니다.
아무리 좋은 정품재료를 사용하더라도 임플란트를 식립할
잇몸뼈가 부족하면 제대로 된 치료가 이루어지기 어렵습니다.
따라서 뼈이식으로 단단한 기반을 마련한 후에 임플란트를
식립하는것이 가장 중요한 요소입니다.
뼈이식 임플란트
이런 분들께
추천드립니다!
  • 장기간 틀니를 사용하여 잇몸뼈가 내려앉은 분
  • 상악동 거상술이 필요한 분
  • 치아상실을 오랫동안 방치하신 분
  • 뼈의 두께가 얇아 임플란트 식립이 불가한 분
뼈이식
왜 중요할까요?
잇몸뼈의 상태가 좋지 않은 경우
임플란트의 지반이 될 잇몸뼈를 보완하여
안정감 있는 식립을 진행합니다.
누구보다도 뼈이식에 진심
나인채 대표원장의
임플란트 치료
  • 맞춤형 뼈이식 치료
    임플란트를 식립할 충분한 잇몸뼈를 보충하여
    보다 튼튼한 구강상태를 만듭니다.
  • 치주과 전문의 진료
    뼈이식에 진심인 보건복지부 인증
    치주과 전문의 대표원장님이 치료합니다.
튼튼한 임플란트의 지반이 되는
리셋치과
뼈이식 임플란트
PROCESS
  • 3D치아진단
    3차원 CT 촬영 등 세심한
    디지털 진단으로 치아 상태 파악
  • 잇몸뼈이식
    뼈이식재를 통해
    부족한 잇몸뼈를 보완
  • 임플란트 식립
    잇몸뼈가 완전히 자리 잡으면
    픽스처 부분을 식립
  • 임플란트 완성
    제작된 보철물을 결합하여
    최종적으로 치료 마무리
  • 1. 치아정밀진단
    3차원 CT 촬영 등 세심한
    디지털 진단으로 치아 상태 파악
  • 2. 잇몸뼈이식
    뼈이식재를 통해
    부족한 잇몸뼈를 보완
  • 3. 임플란트 식립
    잇몸뼈가 완전히 자리 잡으면
    픽스처 부분을 식립
  • 4. 임플란트 완성
    제작된 보철물을 결합하여
    최종적으로 치료 마무리
리셋 증례 CASE
믿을 수 있는 결과,
리셋치과는 실력으로
증명
합니다.
리셋 증례 case 모음 자세히 보기
BEFORE
AFTER
리셋치과는 의료법을 준수합니다
간편 로그인으로 확인해보세요.
CASE 1 : 뼈이식 임플란트 (치료기간 : 8개월)
*치료과정에서 부작용이 발생할 수 있으므로
정확한 진단과 수술이 요구됩니다.
BEFORE
AFTER
리셋치과는 의료법을 준수합니다
간편 로그인으로 확인해보세요.
CASE 2 : 상악동 거상술 (치료기간 : 3개월)
*치료과정에서 부작용이 발생할 수 있으므로
정확한 진단과 수술이 요구됩니다.
reset dental clinic
리셋치과에서 당신의 미소를
되찾아드립니다.
씹는 즐거움으로 다시 찾는 일상의
행복의 가치를 알기에
리셋치과는 여러분의
치아고민 함께하겠습니다.

Location

부산진구 가야대로 753 12층,13층

서면 롯데호텔 맞은편 DR 메디컬 건물

건물 내 타워주차장에 주차 가능합니다.

(대형 차량 주차는 원내 문의주세요)

  • 월·수·금

    10:00 -19:00

    화·목

    10:00 - 21:00

  • 토요일

    10:00 - 16:00

    점심시간

    13:00 - 14:00

*일요일 및 공휴일 휴진  *토요일 점심시간 없이 진료합니다.

건물 내 타워주차장에 주차 가능합니다.

(대형 차량 주차는 원내 문의주세요)

  • 월·수·금

    10:00 -19:00

  • 화·목

    10:00 - 21:00

  • 토요일

    10:00 - 16:00

  • 점심시간

    13:00 - 14:00

*일요일 및 공휴일 휴진
*토요일 점심시간 없이 진료합니다.