minish
부산·경남 미니쉬 프리미엄등급 치과 지정
미니쉬프로바이더 ㅣ CMD급 의료진
scroll down
부산·경남
미니쉬프로바이더 지정병원
: 건강한 아름다움을 지키는
토탈 치아복구 솔루션
미니쉬는 단순한 치아성형이 아닌,
내 치아를 지키는 구강 종합 케어 솔루션
입니다.
자연치아의 성질, 강도, 형태와 가장 유사한
재료로 만든 수복물, 미니쉬블록을 손상된 치아에
접착시켜
원래 내 치아처럼 기능과 심미를
회복할 수 있습니다.
RESET DENTAL CLINIC X MINISH TECHNOLOGY
리셋치과
미니쉬 프리미엄
미니쉬는 시술 숙련도와 노하우에 따라 의료진 등급이 달라집니다.
미니쉬 프리미엄이란 시술 경험이 많고 숙련도 높은 의료진이
시술을 진행하는 가장 높은 등급
을 말합니다.
리셋치과에서는 미니쉬 프리미엄 등급을 받은 의료진
정밀하게 치료를 진행하여 성공적인 시술이 가능하고
5년이라는 긴 보증기간을 제공합니다.
RESET DENTAL CLINIC
X
MINISH TECHNOLOGY
리셋치과
미니쉬 프리미엄
미니쉬는 시술 숙련도와 노하우에 따라
의료진 등급이 달라집니다. 미니쉬 프리미엄이란
시술 경험이 많고 숙련도 높은 의료진이
시술을 진행하는 가장 높은 등급
을 말합니다.
미니쉬프로바이더
리셋치과의원
리셋치과의원은 미니쉬테크놀로지㈜의
미니쉬프로바이더를 정식으로
인증받은 치과입니다.
미니쉬 솔루션은 미니쉬프로바이더에서만 받을 수 있습니다.
SPECIAL POINT OF MINISH
미니쉬
선택해야 할까요?
Point 01
자연치아와 가장 유사한
미니쉬 블록
미니쉬는 치아의 내부구조까지 원래 치아처럼 복구할 수 있습니다.
독일 VITA사에서 독점 공급되는 ‘미니쉬블록’은 생체친화성을 비롯하여
마모도,
파절 강도, 빛 투과성 등 자연치아와
유사한 성질을 지니고 있어
더 자연스러운 치아 복원이 가능합니다.
Point 02
초정밀 맞춤제작
뒷받침하는 기술력
미니쉬는 개인의 치아 상태와 형태는 물론 잇몸 등의 전체적인
구강환경을 고려해
정밀하게 제작됩니다. 앞니뿐만 아니라
어금니처럼 씹는 면이 울퉁불퉁하고 잇몸이 굴곡진 치아의 형태도
제작이 가능하여 모든 치아에 적용이 가능합니다.
Point 03
자연치아를 보존하는
토탈케어 솔루션
자연치아를 미니쉬블록으로 코팅하여
손상된 부위를 보호하고,
오랜 기간
건강하게 유지할 수 있도록 돕습니다.
자연치아에 정밀하게 밀착된 미니쉬는
충치나 잇몸질환 등을 막고
치아 변색을
예방하는 데 도움을 줍니다.
모든 치아에
적용 가능한 미니쉬,
나에게 맞는 타입은?
미니쉬는 앞니는 물론 송곳니나
어금니에도 모두 사용 가능합니다.
  • 심플 미니쉬
  • 듀얼 미니쉬
  • 핑크 미니쉬
  • 미니쉬 브릿지
  • 어금니 미니쉬
미니쉬테크놀로지의 미니쉬 기공 연구소
미니쉬테크놀로지의 미니쉬 기공 연구소는
디지털 장비를 이용하여
뛰어난 제작 기술을 선보이는 치아 연구소입니다.
  • 01
    계속 연구하는 기공 연구원
    평균 15년 경력 20명의 기공 연구원이 함께하며
    기술 향상을 위한
    내외부 교육을 통해 끊임없이 연구하고
    인력양성에 힘쓰고 있습니다.
  • 02
    계속 연구하는 디지털 장비 최다 보유
    미니쉬 블록을 조각하듯이 정교하게 깎을 수 있는 밀링머신,
    3D로 즉각 구강을
    본뜨는 스캐너 디지털 장비 최다 보유로
    섬세하고 완벽한 제작이 가능합니다.
  • 03
    원스톱 협업시스템
    기공물 제작 시 의료진과 기공 연구원의 원만한 협업을 통해
    기공물 제작이 이루어지며,
    고객의 요청이나 보완을
    바로 처리할 수 있는 원스톱 협업 시스템을 진행합니다.
리셋 증례 CASE
믿을 수 있는 결과,
리셋치과는 실력으로
증명
합니다.
리셋 증례 case 모음 자세히 보기
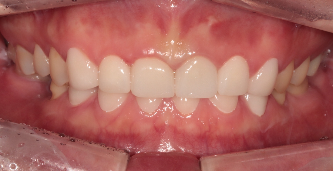
BEFORE
AFTER
리셋치과는 의료법을 준수합니다
간편 로그인으로 확인해보세요.
CASE 1 : 미니쉬 (치료기간 : 1개월)
*치료과정에서 부작용이 발생할 수 있으므로
정확한 진단과 수술이 요구됩니다.
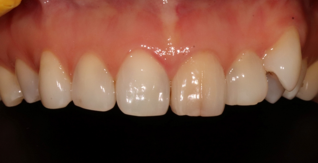
BEFORE
AFTER
리셋치과는 의료법을 준수합니다
간편 로그인으로 확인해보세요.
CASE 2 : 미니쉬 (치료기간 : 1개월)
*치료과정에서 부작용이 발생할 수 있으므로
정확한 진단과 수술이 요구됩니다.
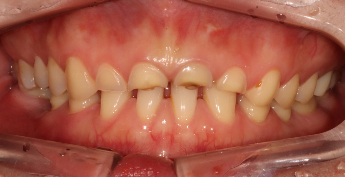
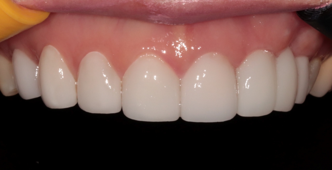
BEFORE
AFTER
리셋치과는 의료법을 준수합니다
간편 로그인으로 확인해보세요.
CASE 3 : 미니쉬 (치료기간 : 2개월)
*치료과정에서 부작용이 발생할 수 있으므로
정확한 진단과 수술이 요구됩니다.
reset dental clinic
리셋치과에서 당신의 미소를
되찾아드립니다.
씹는 즐거움으로 다시 찾는 일상의
행복의 가치를 알기에
리셋치과는 여러분의
치아고민 함께하겠습니다.

Location

부산진구 가야대로 753 12층,13층

서면 롯데호텔 맞은편 DR 메디컬 건물

건물 내 타워주차장에 주차 가능합니다.

(대형 차량 주차는 원내 문의주세요)

  • 월·수·금

    10:00 -19:00

    화·목

    10:00 - 21:00

  • 토요일

    10:00 - 16:00

    점심시간

    13:00 - 14:00

*일요일 및 공휴일 휴진  *토요일 점심시간 없이 진료합니다.

건물 내 타워주차장에 주차 가능합니다.

(대형 차량 주차는 원내 문의주세요)

  • 월·수·금

    10:00 -19:00

  • 화·목

    10:00 - 21:00

  • 토요일

    10:00 - 16:00

  • 점심시간

    13:00 - 14:00

*일요일 및 공휴일 휴진
*토요일 점심시간 없이 진료합니다.