Implant
경험에서 나오는 실력과 노하우
고난이도 임플란트 ㅣ 치주과 전문의 진료
scroll down
부산·경남 미니쉬
멤버스 클리닉 지정병원
Reset Implant
임플란트, 첫수술부터
고난이도 재수술까지
전문가와 함께
자연 치아의 기능과 형태를 대체하는 인공치아, 임플란트는 저작 기능 회복과
심미성을 동시에 고려해야 합니다. 이를 위해서는 잇몸뼈 상태와
전신 건강을 고려한 맞춤 계획이 필요하므로, 전문성과 노하우를
갖춘 의료진에게 맡기는 것이 치료의 첫걸음입니다.
치아의 회복과
자신감을 되살리는
리셋치과 임플란트
01
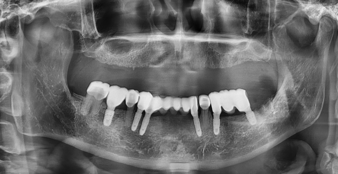
전악 임플란트
다수의 치아를 상실했을 경우 전체 식립을 통해
치아의 전반 회복이 가능한 임플란트
오차는 줄이고 정확도는 올리는
리셋치과
3D 디지털 시스템
  • 3D CT
    디지털 CT를 통해 개인의 구강구조를
    꼼꼼하고 정확하게 파악 후 치료계획을
    수립해 시행착오를 줄입니다.
  • 3D CAD CAM
    기존의 고무 인상재의 불편함 없이
    세밀하고 입체적인 디지털 구강 스캐너를
    통해 정교한 스캔이 가능합니다.
  • 원내 자체 기공소
    환자의 상태를 가장 잘 알고 있는 전문의와
    전문 기공사의 커뮤니케이션으로 보다 정밀하고
    자연스러운 보철물을 제작할 수 있습니다.
리셋치과는
자체 기공소를 운영합니다.
리셋치과의원은 원내 자체기공소를 보유하고 있으며
기공실에 전문 기공사가 상주하여 보철물을 제작합니다.
  • 대표원장과 전문 기공사의 지속적인 커뮤니케이션
  • 내 치아같은 자연스러운 보철물 제작
  • 잦은 내원 할 필요없이, 줄어드는 보철 제작 시간
리셋 증례 CASE
믿을 수 있는 결과,
리셋치과는 실력으로
증명
합니다.
리셋 증례 case 모음 자세히 보기
BEFORE
AFTER
리셋치과는 의료법을 준수합니다
간편 로그인으로 확인해보세요.
CASE 1 : 전체 임플란트 (치료기간 : 9개월)
*치료과정에서 부작용이 발생할 수 있으므로
정확한 진단과 수술이 요구됩니다.
BEFORE
AFTER
리셋치과는 의료법을 준수합니다
간편 로그인으로 확인해보세요.
CASE 2 : 전체 임플란트 (치료기간 : 3개월)
*치료과정에서 부작용이 발생할 수 있으므로
정확한 진단과 수술이 요구됩니다.
reset dental clinic
리셋치과에서 당신의 미소를
되찾아드립니다.
씹는 즐거움으로 다시 찾는 일상의
행복의 가치를 알기에
리셋치과는 여러분의
치아고민 함께하겠습니다.

Location

부산진구 가야대로 753 12층,13층

서면 롯데호텔 맞은편 DR 메디컬 건물

건물 내 타워주차장에 주차 가능합니다.

(대형 차량 주차는 원내 문의주세요)

  • 월·수·금

    10:00 -19:00

    화·목

    10:00 - 21:00

  • 토요일

    10:00 - 16:00

    점심시간

    13:00 - 14:00

*일요일 및 공휴일 휴진  *토요일 점심시간 없이 진료합니다.

건물 내 타워주차장에 주차 가능합니다.

(대형 차량 주차는 원내 문의주세요)

  • 월·수·금

    10:00 -19:00

  • 화·목

    10:00 - 21:00

  • 토요일

    10:00 - 16:00

  • 점심시간

    13:00 - 14:00

*일요일 및 공휴일 휴진
*토요일 점심시간 없이 진료합니다.