aesthetic treatment
가장 자연스럽고 나다운 치아를 만들어주는 곳
미니쉬 ㅣ 라미네이트
scroll down
부산·경남 미니쉬
멤버스 클리닉 지정병원
RESET AESTHETIC DENTISTRY
리셋과 함께
건강한 아름다움
지켜주세요.
심미치료는 그저 겉으로 보이는 게 다가 아닙니다.
치아 본연의 기능을 되살리고 보호하며,
외관상의 콤플렉스까지 함께 보완하여
건강한 아름다움을 완성하는 것이 심미치료의
궁극적인 목적입니다.
삐뚤한 치열, 툭 튀어나온 앞니,
누렇게 변색된 치아…
다양한 치아고민,
어떻게 해결할 수 있나요?
  • 미니쉬
  • 라미네이트
  • 치아교정
  • 치아미백
  • 기타 심미보철
"리셋치과는 나에게 꼭 맞는
치료계획을 함께 찾고 시행합니다."
Personal Design
퍼스널 디자인
치아는 무조건 하얗게 보이는 게 능사가 아닙니다.
사람마다 어울리는 치아 크기, 배열,
색상은 모두 다르기 때문이죠.

리셋치과는 꼼꼼한 상담과 예리한 눈썰미
당신에게 가장 예쁜 치아 라인을 찾아드립니다.
리셋 증례 CASE
믿을 수 있는 결과,
리셋치과는 실력으로
증명
합니다.
리셋 증례 case 모음 자세히 보기
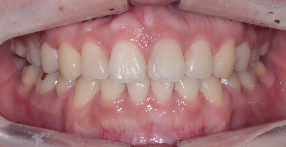
BEFORE
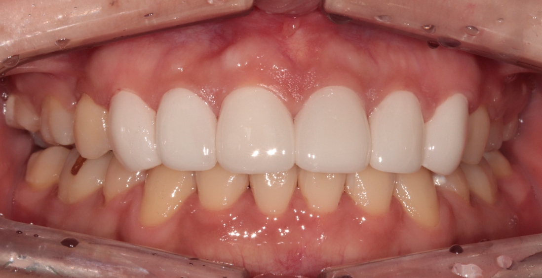
AFTER
리셋치과는 의료법을 준수합니다
간편 로그인으로 확인해보세요.
CASE 1 : 심미치료 (치료기간 : 1개월)
*치료과정에서 부작용이 발생할 수 있으므로
정확한 진단과 수술이 요구됩니다.
BEFORE
AFTER
리셋치과는 의료법을 준수합니다
간편 로그인으로 확인해보세요.
CASE 2 : 심미치료 (치료기간 : 1개월)
*치료과정에서 부작용이 발생할 수 있으므로
정확한 진단과 수술이 요구됩니다.
BEFORE
AFTER
리셋치과는 의료법을 준수합니다
간편 로그인으로 확인해보세요.
CASE 3 : 심미치료 (치료기간 : 1개월)
*치료과정에서 부작용이 발생할 수 있으므로
정확한 진단과 수술이 요구됩니다.
BEFORE
AFTER
리셋치과는 의료법을 준수합니다
간편 로그인으로 확인해보세요.
CASE 4 : 심미치료 (치료기간 : 2개월)
*치료과정에서 부작용이 발생할 수 있으므로
정확한 진단과 수술이 요구됩니다.
reset dental clinic
리셋치과에서 당신의 미소를
되찾아드립니다.
씹는 즐거움으로 다시 찾는 일상의
행복의 가치를 알기에
리셋치과는 여러분의
치아고민 함께하겠습니다.

Location

부산진구 가야대로 753 12층,13층

서면 롯데호텔 맞은편 DR 메디컬 건물

건물 내 타워주차장에 주차 가능합니다.

(대형 차량 주차는 원내 문의주세요)

  • 월·수·금

    10:00 -19:00

    화·목

    10:00 - 21:00

  • 토요일

    10:00 - 16:00

    점심시간

    13:00 - 14:00

*일요일 및 공휴일 휴진  *토요일 점심시간 없이 진료합니다.

건물 내 타워주차장에 주차 가능합니다.

(대형 차량 주차는 원내 문의주세요)

  • 월·수·금

    10:00 -19:00

  • 화·목

    10:00 - 21:00

  • 토요일

    10:00 - 16:00

  • 점심시간

    13:00 - 14:00

*일요일 및 공휴일 휴진
*토요일 점심시간 없이 진료합니다.